ਤੁਸੀਂ ਅਪਣੇ ਆਲੇ ਦੁਆਲੇ ਕੁੱਝ ਅਜਿਹੇ ਲੋਕਾਂ ਨੂੰ ਜ਼ਰੂਰ ਦੇਖਿਆ ਹੋਵੇਗਾ, ਜਿਨ੍ਹਾਂ ਨੂੰ ਅਕਸਰ ਸਿਰ ਵਿਚ ਭਾਰਾਪਣ ਅਤੇ ਬੰਦ ਨੱਕ ਦੀ ਵਜ੍ਹਾ ਨਾਲ ਸਾਹ ਲੈਣ ਵਿਚ ਤਕਲੀਫ਼...
ਤੁਸੀਂ ਅਪਣੇ ਆਲੇ ਦੁਆਲੇ ਕੁੱਝ ਅਜਿਹੇ ਲੋਕਾਂ ਨੂੰ ਜ਼ਰੂਰ ਦੇਖਿਆ ਹੋਵੇਗਾ, ਜਿਨ੍ਹਾਂ ਨੂੰ ਅਕਸਰ ਸਿਰ ਵਿਚ ਭਾਰਾਪਣ ਅਤੇ ਬੰਦ ਨੱਕ ਦੀ ਵਜ੍ਹਾ ਨਾਲ ਸਾਹ ਲੈਣ ਵਿਚ ਤਕਲੀਫ਼ ਦੀ ਸ਼ਿਕਾਇਤ ਹੁੰਦੀ ਹੈ। ਦਰਅਸਲ ਅਜਿਹੇ ਲੋਕ ਸਾਈਨੋਸਾਇਟਿਸ ਯਾਨੀ ਸਾਇਨਸ ਦੀ ਸਮੱਸਿਆ ਤੋਂ ਪੀਡ਼ਤ ਹੁੰਦੇ ਹਨ। ਆਉ ਇਸ ਰੋਗ ਦੇ ਬਾਰੇ ਵਿਸਥਾਰ ਨਾਲ ਜਾਣਦੇ ਹਾਂ। ਬ੍ਰੇਨ ਟਿਊਮਰ ਦਿਮਾਗ ਵਿੱ ਗ਼ੈਰ-ਅਸਧਾਰਨ ਕੋਸ਼ਿਕਾਵਾਂ ਦਾ ਇਕ ਸਮੂਹ ਹੈ।
brain tumors
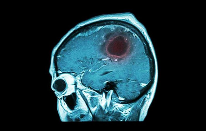
ਖੋਪੜੀ ਦੇ ਅੰਦਰ ਗ਼ੈਰ-ਅਸਧਾਰਨ ਕੋਸ਼ਿਕਾਵਾਂ ਦੇ ਵਾਧਣ ਦੀ ਸਮੱਸਿਆ ਪੈਦਾ ਕਰ ਸਕਦੀ ਹੈ। ਬ੍ਰੇਨ ਟਿਊਮਰ ਕੈਂਸਰਜੰਨਿ( ਮੈਲਿਗਨੇਂਟ) ਜਾਂ ਕੈਂਸਰ ਰਹਿਤ (ਬਿਨਾਇਨ) ਹੋ ਸਕਦਾ ਹੈ। ਜਦੋਂ ਮੈਲਿਗਨੇਂਟ ਟਿਊਮਰ ਵਧਦੇ ਹਨ ਤਾਂ ਉਹ ਤੁਹਾਡੀ ਖੋਪੜੀ ਦੇ ਅੰਦਰ ਦਬਾਅ ਵਧਾ ਸਕਦੇ ਹਨ, ਇਹ ਦਿਮਾਗ ਨੂੰ ਨੁਕਸਾਨ ਪੁਹੰਚਾਉਣ ਦੇ ਨਾਲ ਨਾਲ ਜੀਵਨ ਨੂੰ ਵੀ ਖਤਰੇ ਵਿਚ ਪਾ ਸਕਦੇ ਹਨ। ਬ੍ਰੇਨ ਟਿਊਮਰ ਮਰਦ ਅਤੇ ਔਰਤਾਂ ਦੋਹਾਂ ਵਿਚ ਹੋ ਸਕਦਾ ਹੈ।
brain tumors
ਬ੍ਰੇਨ ਟਿਊਮਰ ਦੇ ਲੱਛਣ : ਬ੍ਰੇਨ ਟਿਊਮਰ ਦੇ ਸੱਭ ਤੋਂ ਆਮ ਲੱਛਣਾਂ ਵਿਚੋਂ ਇਕ ਸਿਰਦਰਦ ਦਾ ਵਧਣਾ ਹੈ। ਇਹ ਸਿਰਦਰਦ ਸਵੇਰੇ ਦੇ ਸਮੇਂ ਜ਼ਿਆਦਾ ਤੇਜ਼ ਹੁੰਦਾ ਹੈ। ਜੀਅ ਮਚਲਾਉਣਾ ਅਤੇ ਉਲਟੀ ਦੀ ਸਮੱਸਿਆ ਹੋ ਸਕਦੀ ਹੈ। ਹੱਥਾਂ ਅਤੇ ਪੈਰਾਂ ਵਿਚ ਕਮਜ਼ੋਰੀ ਮਹਿਸੂਸ ਹੋਣਾ। ਸਰੀਰ ਦਾ ਸੰਤੁਲਨ ਸਾਧਣ ਵਿਚ ਮੁਸ਼ਕਿਲ। ਦੇਖਣ ਜਾਂ ਸੁਣਨ ਵਿਚ ਮੁਸ਼ਕਿਲ ਹੋਣਾ। ਇਵੇਂ ਪਤਾ ਲਗਦਾ ਹੈ ਬਿਮਾਰੀ ਦਾ ਪਤਾ।
brain tumors
ਬ੍ਰੇਨ ਟਿਊਮਰ ਦਾ ਪਤਾ ਲਗਾਉਣ ਲਈ ਸੱਭ ਤੋਂ ਪਹਿਲਾਂ ਸਰੀਰਕ ਪ੍ਰੀਖਣ ਕੀਤਾ ਜਾਂਦਾ ਹੈ ਜਿਸ ਦੇ ਤਹਿਤ ਦਿਮਾਗੀ ਪ੍ਰਣਾਲੀ ਦਾ ਫੈਲਾਅ ਪ੍ਰੀਖਖ ਕੀਤਾ ਜਾਂਦਾ ਹੈ। ਡਾਕਟਰ ਇਹ ਦੇਖਣ ਲਈ ਇਕ ਪ੍ਰੀਖਣ ਕਰਦੇ ਹਨ ਕਿ ਕਰੈਨਿਅਲ ਨਰਵ ਠੀਕ ਹਨ ਜਾਂ ਨਹੀਂ। ਇਹੀ ਉਹ ਨਰਵ ਹਨ ਜੋ ਤੁਹਾਡੇ ਦਿਮਾਗ ਤੋਂ ਪੈਦਾ ਹੁੰਦੀਆਂ ਹਨ। ਸਰੀਰਕ ਪ੍ਰੀਖਣ ਤੋਂ ਬਾਅਦ ਰੋਗ ਦਾ ਪਤਾ ਚਲਦਾ ਹੈ। ਸੀਟੀ ਸਕੈਨ, ਐਮ.ਆਰ.ਆਈ, ਏਜੀਓਗ੍ਰਾਫ਼ੀ ਜਾਂ ਸਿਰ ਦੀ ਬਾਇਓਪਸੀ ਕੀਤੀ ਜਾ ਸਕਦੀ ਹੈ।
brain tumors
ਗੱਲ ਉਪਚਾਰ ਦੀ : ਬ੍ਰੇਨ ਟਿਊਮਰ ਦਾ ਇਲਾਜ ਸਰਜਰੀ, ਰੇਡਿਏਸ਼ਨ, ਕੀਮੋਥੈਰੇਪੀ ਵਰਗੇ ਤਰੀਕਿਆਂ ਦੀ ਵਰਤੋਂ ਕਰ ਕੇ ਕੀਤਾ ਜਾਂਦਾ ਰਿਹਾ ਹੈ ਪਰ ਓਪਨ ਬ੍ਰੇਨ ਸਰਜਰੀ ਨਾਲ ਦਿਮਾਗ ਵਿਚ ਅੰਦਰੂਨੀ ਖ਼ੂਨ ਦਾ ਵਹਾਅ, ਯਾਦਦਾਸ਼ਤ ਵਿਚ ਕਮੀ ਜਾਂ ਸੰਕਰਮਣ ਵਰਗੇ ਕਈ ਖਤਰੇ ਵੀ ਸਾਹਮਣੇ ਆਉਂਦੇ ਸਨ। ਇਥੇ ਤਕ ਕਿ ਥੋੜ੍ਹੀ ਜਿਹੀ ਗ਼ਲਤੀ ਦੇ ਵੀ ਗੰਭੀਰ ਨਤੀਜੇ ਹੋ ਸਕਦੇ ਹਨ ਅਤੇ ਸਥਾਈ ਸਮੱਸਿਆਵਾਂ ਪੈਦਾ ਹੋ ਸਕਦੀਆਂ ਹਨ।
