ਰੋਜ਼ਾਨਾ ਸਪੋਕਸਮੈਨ ਨੇ ਆਪਣੀ ਪੜਤਾਲ ਵਿਚ ਪਾਇਆ ਕਿ ਵਾਇਰਲ ਤਸਵੀਰ ਐਡੀਟੇਡ ਹੈ। ਇਸ X-Ray ਰਿਪੋਰਟ ਵਿਚ ਐਡੀਟਿੰਗ ਟੂਲਜ਼ ਦੀ ਮਦਦ ਨਾਲ ਕੋਕਰੋਚ ਨੂੰ ਚਿਪਕਾਇਆ ਗਿਆ ਹੈ।
RSFC (Team Mohali)- ਸੋਸ਼ਲ ਮੀਡੀਆ 'ਤੇ ਇੱਕ X-Ray ਦੀ ਤਸਵੀਰ ਵਾਇਰਲ ਹੋ ਰਹੀ ਹੈ। ਇਸ ਤਸਵੀਰ ਵਿਚ ਛਾਤੀ ਦੇ X-Ray ਅੰਦਰ ਇੱਕ ਕੋਕਰੋਚ ਨੂੰ ਵੇਖਿਆ ਜਾ ਸਕਦਾ ਹੈ। ਦਾਅਵਾ ਕੀਤਾ ਜਾ ਰਿਹਾ ਹੈ ਕਿ ਇੱਕ ਵਿਅਕਤੀ ਜਦੋਂ ਬਾਹਰ ਦੇਸ਼ ਇਲਾਜ ਕਰਵਾਉਣ ਗਿਆ ਤਾਂ ਪਤਾ ਚਲਿਆ ਕਿ ਜ਼ਿੰਦਾ ਕੋਕਰੋਚ ਉਸਦੀ ਛਾਤੀ ਅੰਦਰ ਨਹੀਂ ਬਲਕਿ X-Ray ਕੱਢਣ ਵਾਲੀ ਮਸ਼ੀਨ ਵਿਚ ਸੀ। ਇਸ ਪੋਸਟ ਨੂੰ ਵਾਇਰਲ ਕਰਦੇ ਹੋਏ ਭਾਰਤੀ ਸਿਹਤ ਸਿਸਟਮ 'ਤੇ ਤੰਜ ਕੱਸਿਆ ਜਾ ਰਿਹਾ ਹੈ।
ਰੋਜ਼ਾਨਾ ਸਪੋਕਸਮੈਨ ਨੇ ਆਪਣੀ ਪੜਤਾਲ ਵਿਚ ਪਾਇਆ ਕਿ ਵਾਇਰਲ ਤਸਵੀਰ ਐਡੀਟੇਡ ਹੈ। ਇਸ X-Ray ਰਿਪੋਰਟ ਵਿਚ ਐਡੀਟਿੰਗ ਟੂਲਜ਼ ਦੀ ਮਦਦ ਨਾਲ ਕੋਕਰੋਚ ਨੂੰ ਚਿਪਕਾਇਆ ਗਿਆ ਹੈ।
ਵਾਇਰਲ ਪੋਸਟ
ਇੱਕ ਫੇਸਬੁੱਕ ਯੂਜ਼ਰ ਨੇ ਇਸ X-Ray ਦੀ ਤਸਵੀਰ ਨੂੰ ਸ਼ੇਅਰ ਕੀਤਾ। ਇਸ X-Ray ਰਿਪੋਰਟ ਉੱਤੇ ਲਿਖਿਆ ਸੀ, "ਭਾਰਤ ਦੇ ਇੱਕ ਵਿਅਕਤੀ ਨੇ ਛਾਤੀ ਦੇ ਦਰਦ ਤੋਂ ਦੁਖੀ ਹੋ ਕੇ X-ray ਕਰਾਏ। ਰਿਪੋਰਟ ਦੇਖ ਕੇ ਡਾ:ਨੇ ਕਿਹਾ ਕਿ ਇੱਕ ਜਿੰਦਾ ਕਾਕਰੋਚ ਤੁਹਾਡੀ ਪਸਲੀਆਂ ਵਿਚ ਫਸਿਆ ਹੈ, ਅਮਰੀਕਾ ਜਾ ਕੇ ਅਪਰੇਸ਼ਨ ਕਰਾਓ। ਜਦੋਂ ਅਮਰੀਕਾ ਚ ਦੁਬਾਰਾ X-ray ਕਰਾਏ ਗਏ ਤਾਂ ਡਾ: ਨੇ ਕਿਹਾ ਕਿ ਕਾਕਰੋਚ ਤੁਹਾਡੀ ਛਾਤੀ ਵਿੱਚ ਨਹੀਂ ਤੁਹਾਡੇ ਦੇਸ਼ ਦੀ Xray ਮਸ਼ੀਨ ਵਿੱਚ ਸੀ????????"
ਇਸ ਪੋਸਟ ਨੂੰ ਇਥੇ ਕਲਿਕ ਕਰ ਵੇਖਿਆ ਜਾ ਸਕਦਾ ਹੈ।
ਪੜਤਾਲ
ਪੜਤਾਲ ਦੀ ਸ਼ੁਰੂਆਤ ਕਰਦੇ ਹੋਏ ਅਸੀਂ ਸਭ ਤੋਂ ਪਹਿਲਾਂ ਵਾਇਰਲ ਤਸਵੀਰ ਨੂੰ ਗੂਗਲ ਰਿਵਰਸ ਇਮੇਜ ਟੂਲ ਵਿਚ ਅਪਲੋਡ ਕਰ ਸਰਚ ਕੀਤਾ।
ਇਹ ਤਸਵੀਰ ਐਡੀਟੇਡ ਹੈ
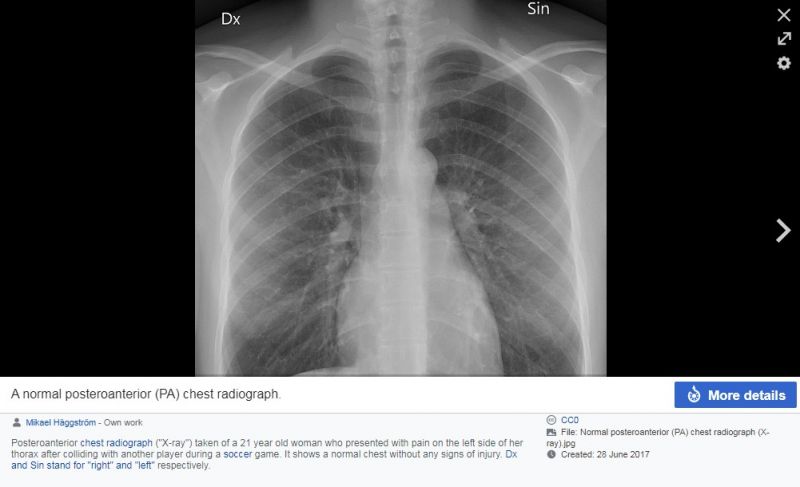
ਸਾਨੂੰ ਅਸਲ ਤਸਵੀਰ “radlines.org” ਨਾਂਅ ਦੀ ਵੈੱਬਸਾਈਟ ‘ਤੇ ਅਪਲੋਡ ਮਿਲੀ। ਅਸਲ ਤਸਵੀਰ ਵਿਚ X-Ray ਰਿਪੋਰਟ ਅੰਦਰ ਕੀਤੇ ਵੀ ਕੋਕਰੋਚ ਨਹੀਂ ਦਿੱਸ ਰਿਹਾ ਸੀ। ਇਸ ਤਸਵੀਰ ਨਾਲ ਕੈਪਸ਼ਨ ਲਿਖਿਆ ਗਿਆ ਸੀ: “A normal posteroanterior (PA) chest radiograph”

ਇਥੇ ਮੌਜੂਦ ਜਾਣਕਾਰੀ ਅਨੁਸਾਰ, "ਇਹ X-Ray 21 ਸਾਲ ਦੀ ਔਰਤ ਦਾ ਲਿਆ ਗਿਆ ਹੈ ਜਿਸ ਦੀ ਇੱਕ ਸੋਕਰ ਗੇਮ ਦੌਰਾਨ ਕਿਸੇ ਖਿਡਾਰੀ ਨਾਲ ਟੱਕਰ ਹੋਈ ਅਤੇ ਬਾਅਦ ਵਿਚ ਉਸ ਦੇ ਛਾਤੀ ਦੇ ਖੱਬੇ ਪਾਸੇ ਵਿਚ ਦਰਦ ਉੱਠ ਖੜ੍ਹਿਆ ਸੀ।"
ਅਸਲ X-Ray ਅਤੇ ਵਾਇਰਲ X-Ray ਵਿਚਕਾਰ ਫਰਕ ਹੇਠਾਂ ਦਿੱਤੇ ਕੋਲਾਜ ਵਿਚ ਵੇਖਿਆ ਜਾ ਸਕਦਾ ਹੈ।

ਅਸੀਂ ਆਪਣੀ ਸਰਚ ਦੌਰਾਨ ਇਹ ਵੀ ਪਾਇਆ ਕਿ ਇਹ ਤਸਵੀਰ ਪਿਛਲੇ ਕਈ ਸਾਲਾਂ ਤੋਂ ਵਾਇਰਲ ਹੁੰਦੀ ਆ ਰਹੀ ਹੈ। ਮਤਲਬ ਇਹ ਗੱਲ ਵੀ ਸਾਫ ਸੀ ਕਿ ਇਹ ਪਹਿਲੀ ਵਾਰ ਵਾਇਰਲ ਨਹੀਂ ਹੋ ਰਹੀ ਹੈ।
ਨਤੀਜਾ- ਰੋਜ਼ਾਨਾ ਸਪੋਕਸਮੈਨ ਨੇ ਆਪਣੀ ਪੜਤਾਲ ਵਿਚ ਪਾਇਆ ਕਿ ਵਾਇਰਲ ਤਸਵੀਰ ਐਡੀਟੇਡ ਹੈ। ਇਸ X-Ray ਰਿਪੋਰਟ ਵਿਚ ਐਡੀਟਿੰਗ ਟੂਲਜ਼ ਦੀ ਮਦਦ ਨਾਲ ਕੋਕਰੋਚ ਨੂੰ ਚਿਪਕਾਇਆ ਗਿਆ ਹੈ।
Claim- Cockroach found in X-Ray Machine
Claimed By- SM User
Fact Check- Moprhed
