ਇਕ ਦਰਜਨ ਦੇ ਕਰੀਬ ਲੋਕ ਇਸ ਦੀ ਲਪੇਟ ਵਿਚ ਆਉਣ ਨਾਲ ਗੰਭੀਰ ਹਾਲਤ ਵਿਚ ਹਨ
ਹੁਣ ਰਾਤ ਵੇਲੇ ਤੁਹਾਡੇ ਆਲੇ ਦੁਆਲੇ ਘੁੰਮਣ ਵਾਲੇ ਚਮਗਾਦੜ ਅਤੇ ਘਰਾਂ ਵਿਚ ਰੱਖੇ ਤੇ ਬਾਜ਼ਾਰਾਂ ਵਿਚ ਘੁੰਮ ਰਹੇ ਸੂਰ ਤੁਹਾਡੇ ਲਈ ਜਾਨ ਲੇਵਾ ਸਾਬਤ ਹੋ ਸਕਦੇ ਨੇ ਕਿਉਂਕ ਇਨ੍ਹਾਂ ਜ਼ਰੀਏ ਕੇਰਲ ਵਿਚ ''ਨਿਪਾਹ'' ਨਾਂਅ ਦਾ ਇਕ ਖ਼ਤਰਨਾਕ ਵਾਇਰਸ ਫੈਲ ਚੁੱਕਾ ਹੈ। ਜਿਸ ਦੀ ਲਪੇਟ ਵਿਚ ਆਉਣ ਨਾਲ ਹੁਣ ਤਕ 10 ਲੋਕਾਂ ਦੀ ਮੌਤ ਹੋ ਚੁੱਕੀ ਹੈ ਅਤੇ ਇਕ ਦਰਜਨ ਦੇ ਕਰੀਬ ਲੋਕ ਇਸ ਦੀ ਲਪੇਟ ਵਿਚ ਆਉਣ ਨਾਲ ਗੰਭੀਰ ਹਾਲਤ ਵਿਚ ਹਨ।
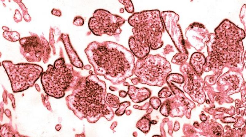
Nipah Virusਜਾਣਕਾਰਾਂ ਅਨੁਸਾਰ ਇਹ ਖ਼ਤਰਨਾਕ ਵਾਇਰਸ ਕੋਈ ਨਵਾਂ ਨਹੀਂ, ਬਲਕਿ ਇਹ 1998 ਵਿਚ ਪਹਿਲੀ ਵਾਰ ਮਲੇਸ਼ੀਆ ਦੇ ਕੈਂਪੁੰਗ ਸੁੰਗਾਈ ਨਿਪਾਹ ਵਿਚ ਸਾਹਮਣੇ ਆਇਆ ਸੀ। ਜਿੱਥੇ ਇਹ ਸੂਰਾਂ ਦੇ ਜ਼ਰੀਏ ਇਨਸਾਨਾਂ ਵਿਚ ਫੈਲ ਗਿਆ ਸੀ ਨਿਪਾਹ ਖੇਤਰ ਵਿਚ ਸਾਹਮਣੇ ਆਉਣ ਕਰਕੇ ਇਸ ਵਾਇਰਸ ਦਾ ਨਾਂਅ ਨਿਪਾਹ ਰੱਖ ਦਿਤਾ ਗਿਆ। ਦੂਜੀ ਵਾਰ ਇਸ ਵਾਇਰਸ ਦਾ ਖ਼ਤਰਨਾਕ ਰੂਪ 2004 ਵਿਚ ਬੰਗਲਾਦੇਸ਼ ਵਿਚ ਦੇਖਣ ਨੂੰ ਮਿਲਿਆ ਸੀ। ਜਿੱਥੇ ਇਹ ਬਿਮਾਰੀ ਚਮਗਾਦੜਾਂ ਦੀ ਲਾਗ ਵਾਲੇ ਖ਼ਜੂਰ ਖਾਣ ਨਾਲ ਇਨਸਾਨਾਂ ਵਿਚ ਫੈਲੀ ਗਈ ਸੀ।
BATਪੰਜਾਬ ਵਿਚ ਫਿ਼ਲਹਾਲ ਭਾਵੇਂ ਇਸ ਵਾਇਰਸ ਦਾ ਕੋਈ ਖ਼ਤਰਾ ਨਹੀਂ ਹੈ। ਪਰ ਸਾਡਾ ਮਕਸਦ ਇਸ ਵੀਡੀਓ ਜ਼ਰੀਏ ਪਹਿਲਾਂ ਤੋਂ ਹੀ ਲੋਕਾਂ ਨੂੰ ਜਾਗਰੂਕ ਕਰਨਾ ਹੈ ਕਿਉਂਕਿ ਵਾਇਰਸ ਕਦੋਂ ਕਿਥੇ ਤਕ ਫ਼ੈਲ ਜਾਂਦਾ ਹੈ। ਇਸ ਵਿਚ ਦੇਰ ਨਹੀਂ ਲਗਦੀ। ਕਿਉਂਕਿ ਨਿਪਾਹ ਦਾ ਨਾਂਅ ਦਾ ਇਹ ਖ਼ਤਰਨਾਕ ਵਾਇਰਸ ਚਮਗਾਦੜ ਅਤੇ ਸੂਰ ਤੋਂ ਇਨਸਾਨ ਵਿਚ ਫੈਲਦਾ ਹੈ।
Nipah Virus Cycleਇਸ ਲਈ ਇਹਤਿਆਤ ਦੇ ਤੌਰ 'ਤੇ ਇਨ੍ਹਾਂ ਜਾਨਵਰਾਂ ਦੇ ਸਿੱਧੇ ਸੰਪਰਕ ਵਿਚ ਆਉਣ ਤੋਂ ਬਚਿਆ ਜਾਵੇ....ਮਾਹਿਰਾਂ ਦੀ ਲੋਕਾਂ ਨੂੰ ਇਹ ਵੀ ਸਲਾਹ ਏ ਕਿ ਉਹ ਦਰੱਖਤ ਤੋਂ ਜ਼ਮੀਨ 'ਤੇ ਡਿੱਗੇ ਫ਼ਲਾਂ ਦਾ ਸੇਵਨ ਨਾ ਕਰਨ ਕਿਉਂਕਿ ਕਈ ਵਾਰ ਦਰੱਖਤਾਂ 'ਤੇ ਰਹਿੰਦੇ ਚਮਗਾਦੜਾਂ ਦੇ ਸੰਪਰਕ ਵਿਚ ਆਉਣ ਨਾਲ ਇਹ ਫ਼ਲ ਹੇਠਾਂ ਡਿਗੇ ਹੋ ਸਕਦੇ ਨੇ।
